-
青海红十字医院心脏外科成功开展“介入下肺动脉去神经术” 为高原难治性肺动脉高压患者开辟全新治疗路径
2026-04-13 09:39:34
近日,青海红十字医院心脏外科团队成功为一名 38 岁药物难治性重度肺动脉高压患者实施介入下肺动脉去神经术(PADN),本例手术为我院首例开展,也标志着我院成为青海省第二家开展此项技术的医院。手术微创精准、效果显著,患者术后胸闷气短症状即刻缓解,肺动脉压力明显下降,标志着我院在高原肺动脉高压微创介入治疗领域取得重要突破,为青海及周边地区同类重症患者提供了国际前沿的治疗新选择。

病情回顾:5年顽疾缠身 药物治疗陷入困境
患者拉某,女性,因胸闷、气短反复发作 5 年入院。2019 年曾在我院接受“经皮房间隔缺损封堵术”,术后恢复良好。5 年前无明显诱因出现活动后胸闷、气促,心脏彩超确诊为重度肺动脉高压,长期接受 “马昔腾坦 + 司来帕格” 规范靶向药物治疗,但疗效不佳,症状持续加重,活动耐力显著下降,术前六分钟步行试验仅 391 米。入院复查提示,患者肺动脉收缩压高达 71mmHg,已进入药物难治阶段,常规治疗无法有效控制病情,右心负荷持续增高,严重危及生命健康。肺动脉高压素有 “心血管领域的癌症”之称,全球患病率约 97/100 万,中国预估患者 500–800 万,其中先心病相关肺动脉高压占比最高(43%),确诊后 5 年生存率仅 20.8%;结缔组织病相关肺高压、左心疾病相关肺高压、慢性血栓栓塞型肺高压也因临床重视及诊疗技术进步,发病逐年增多。此类疾病起病隐匿、易漏诊误诊,长期药物治疗仅能维持状态,一旦出现肺血管重构,极易进展为右心衰竭,给患者及家庭带来沉重负担。

精准施治:中国原创微创技术 破解治疗难题
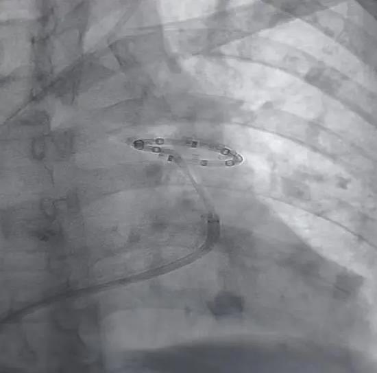
针对患者复杂病情、既往手术史及药物难治现状,我院心脏外科团队开展多学科全面评估与反复论证,确认患者符合“介入下肺动脉去神经术(PADN)”手术指征。肺动脉去神经术(PADN)是中国原创、全球首创的肺动脉高压微创介入技术,2022年被纳入欧洲心脏病学会(ESC)与欧洲呼吸学会(ERS)国际权威指南,2023年通过国家药监局创新通道审批上市,并获美国 FDA 人道主义用途器械认定,是目前国际公认安全有效的前沿治疗手段。主要适用于药物治疗无效、小于70周岁的特发性肺动脉高压、先天性心脏病相关肺动脉高压、慢性血栓栓塞型肺动脉高压、结缔组织病相关肺动脉高压的成人患者。
该技术通过股静脉穿刺微创入路,在数字减影血管造影(DSA)精准引导下,将射频消融导管送至肺动脉主干,定位并消融肺动脉周围过度激活的交感神经,阻断异常神经信号传导,从而降低肺动脉压力、降低肺血管阻力、改善心功能、提升运动耐力,实现 “一次手术、长期获益”。

手术全程微创、无切口、出血少、安全性高。国内425例临床研究数据显示,PADN技术手术相关并发症为零,安全性优异,心衰患者亦可耐受。截至 2026年3月,全国已开展700余例,疗效确切。

手术成功:术后即刻见效 患者重获 “心” 生
在我院心脏外科团队默契配合下,手术顺利完成。术后即刻复查发现,患者肺动脉收缩压显著下降,胸闷、气短症状明显缓解,生命体征平稳。目前患者术后监护恢复良好,各项指标持续改善,活动能力较术前显著提升。

相较于传统长期药物治疗,PADN 技术优势突出:
-
创伤极小:介入微创,无需开胸,术后恢复快
-
疗效确切:快速降低肺动脉压力、改善血流动力学
-
长期获益:提升运动耐力,降低再入院率,改善生活质量
-
适用广泛:适用于药物无效、无法耐受的成人难治性肺动脉高压患者
-
技术意义:填补高原新技术空白 守护群众心肺健康

此次介入下肺动脉去神经术的成功开展,是我院心脏外科在高原心血管疾病精准诊疗领域的又一标志性成果。未来,青海红十字医院心脏外科将持续聚焦学科前沿,深化肺动脉高压规范化诊疗与新技术应用,以更精湛的技术、更优质的服务,为高原地区心血管疾病患者筑牢健康防线,全力守护群众心脏健康。
文/图:心脏外科
审核:阿尖措 董秋霞
-

回顶部