在青藏高原这片生命高地,青海红十字医院肝胆胰疝外科,作为青海省省级临床核心专科,始终恪守“笃信怀仁,好学求精”的科训,践行“红十字让生命更健康”的使命。在一代代医者的薪火传承下,在学科带头人党委书记高军林、科室主任李连生的引领下,我科始终以解除患者病痛为根本宗旨,致力于攻克以肝胆胰系统为核心的一系列复杂外科疾病及各类腹壁疝。我们深知守护患者健康,不仅需要医者的仁心与勇气,更依赖于外科理念与技术持续而深刻的革新。
我们的追求不止于“小切口”,更在于“快康复”。作为青海省加速康复外科(ERAS)主委单位和国际肝胆胰协会中国分会“肝胆胰ERAS标准病房”,我们率先推进日间手术模式,其开展规模、病种范围及医疗质量均处于省内领先地位,让许多患者实现了“手术24小时内出院”的安全、便捷体验。同时,作为青海省肝包虫专治救助点,我们承担着全省包虫病的筛查与救治重任。
第一期
多学科“集团军”作战,让晚期肝癌患者重获新生——青海红十字医院肝胆胰肿瘤MDT诊疗纪实
1 MDT:从“单打独斗”到“协同作战”的革命
MDT,即多学科诊疗模式,是现代肿瘤治疗的核心策略。它打破了学科壁垒,让不同领域的专家围绕同一患者、同一份病历,从各自专业角度深入分析、充分讨论。外科医生评估手术可行性,内科医生规划系统药物治疗,放疗科医生考量放射治疗的精准打击,介入科医生提供局部控制方案,影像科和病理科医生则提供关键的“情报”支持。最终,整合所有意见,形成一套科学、合理、个性化的综合治疗方案,避免了单一治疗的局限性,真正实现了“以患者为中心”。
2一个案例:MDT如何改写晚期肝癌患者的命运
2024年,青海红十字医院肝胆胰肿瘤诊疗中心在学科带头人高军林书记、科室主任李连生的带领下,成功运用MDT模式,为一位一度失去手术机会的晚期肝癌患者赢得了生机。
该患者为男性,有乙肝病史,体检发现左肝巨大占位(约15cm×8cm),右肝另有孤立小结节,更棘手的是,门静脉左支已出现癌栓并延伸至主干。临床分期为IIIa期,按CNLC指南属于潜在可切除肿瘤。面对困局,肝胆胰肿瘤诊疗中心迅速启动MDT。肝胆胰外科、肿瘤内科、放疗科、介入科、影像科等专家齐聚一堂,经过深入讨论,共同制定了周密的 “转化治疗”方案:先通过非手术手段将不可切除的肿瘤转化为可切除状态。
壹
第一疗程
介入科实施 “经导管动脉化疗栓塞术(TACE)”,精准打击肿瘤血供,控制局部进展;同时,肿瘤内科启动 “靶向联合免疫治疗”,激发患者自身免疫系统对癌细胞进行全身性清除。
贰
第二疗程
放疗科针对关键的门静脉癌栓进行 “姑息性放疗”,有效缓解了癌栓带来的血管阻塞和转移风险。
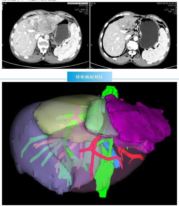
经过3个月的精心治疗,肿瘤显著缩小至约5cm×5cm,门静脉癌栓也明显退缩。再次经MDT团队评估,一致认为手术时机已然成熟。肝胆胰外科团队果断出击,成功为患者实施了 “扩大左半肝切除 + 肝7段结节切除”手术,实现了肿瘤的R0根治性切除。术后患者恢复顺利,随访至今,未见肿瘤复发。

术前3D重建



突破困局
多学科“集团军”作战,让晚期肝癌患者重获新生——青海红十字医院肝胆胰肿瘤MDT诊疗纪实
原发性肝癌是我国高发且致死率高的恶性肿瘤,约64%的患者首诊时已属中晚期,失去了最佳手术时机。MDT指导下的 “转化治疗”正是打破这一困局的关键钥匙。通过靶向、免疫等系统治疗与介入、放疗等局部治疗的有机结合,能够有效实现肿瘤“降期”,为部分晚期患者创造宝贵的手术机会。
这例成功案例,正是我院肝胆胰肿瘤诊疗中心践行MDT模式、推动肝癌治疗进入 “以手术治疗为主的综合治疗新格局”的生动缩影。它证明,通过多学科的紧密协作与序贯治疗,即使面对晚期肿瘤,我们依然有能力为患者争取最大的生存获益,提高患者的生活质量。
结语
MDT不是简单的专家会诊,而是一种深度融合、全程管理的诊疗文化。它体现了现代医学对生命个体的最大尊重,也彰显了青海红十字医院作为省级核心专科的担当与实力。在精准医疗的时代,我们将继续深化MDT建设,让更多复杂疑难肝胆胰肿瘤患者,在这里看到希望的曙光。
文/图:肝胆胰外科
审核:阿尖措 董秋霞