近日,在海拔两千多米的雪域高原上,一场跨越鲁青两地的医疗协作圆满落幕。青海红十字医院神经外科主动对接对口帮扶单位——济宁医学院附属医院神经外科肿瘤病区,借助远程精准指导与现场专家支援,成功为一例复杂桥小脑角区巨大表皮样囊肿患者实施显微镜下肿瘤切除术。此次手术的顺利完成,不仅攻克了高原地区复杂颅底肿瘤诊疗的技术难题,更彰显了青海红十字医院勇于突破、守护高原群众健康的责任担当,谱写了鲁青医疗同仁同心济世的动人篇章。
直面难题:高原医者的使命担当
面对这一高危复杂病例,青海红十字医院神经外科团队没有退缩。考虑到患者病情危急,且此类手术在高原地区开展经验需进一步积累,科室第一时间启动跨区域协作机制,向长期建立对口帮扶关系的济宁医学院附属医院神经外科肿瘤病区发出会诊请求,为患者寻求更精准的诊疗方案。

精准联动:搭建跨域协作诊疗桥梁
在术前筹备阶段,青海红十字医院神经外科组织本院影像科、麻醉科核心骨干,与济医附院王海涛教授团队通过远程医疗平台开展多轮深度会诊。该院医师详细汇报患者病情、影像资料及初步诊疗思路,结合高原患者生理特点提出诊疗疑问;济医附院专家团队结合丰富临床经验,对手术入路选择、血管神经粘连处理策略及术后并发症防控方案等给出全面指导,最终双方达成共识,确定采用经乙状窦后入路手术方案。
为确保手术万无一失,青海红十字医院主动协调对接,邀请济医附院神经外科肿瘤病区顾更诗副主任医师亲赴西宁现场支援。顾更诗医师抵达后,该院神经外科团队立即组织床旁查房、病例复盘及手术推演,双方就手术关键环节、应急处置预案进一步细化,确保每一个步骤都精准可控,为手术成功奠定坚实基础。

同心攻坚:手术台上的高原坚守
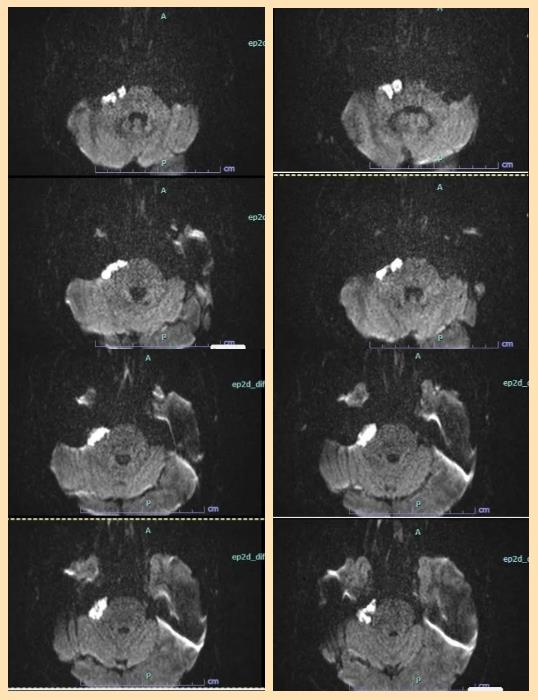
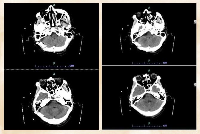
术中探查发现,肿瘤呈珍珠样外观,与脑干腹侧面、小脑前下动脉及多组颅神经粘连异常紧密,剥离空间极度狭小。面对这一突发状况,青海红十字医院手术团队沉着冷静,严格遵循术前既定方案,在顾更诗医师的指导下,运用娴熟的显微外科技术,采取瘤内分块减压、锐性精细剥离相结合的策略,在神经与血管交织的“丛林”中谨慎操作。每一次剥离、每一次止血,都凝聚着两地医者的专业与默契,双方实时交流解剖判断、共同优化手术动作,始终将重要神经血管的保护放在首位。经过数小时的紧张奋战,肿瘤被次全切除(为保护紧密粘连的神经,仅残留极少非功能区囊壁),所有重要神经血管结构完好无损,手术取得圆满成功。

术后康复:技术落地彰显帮扶成效

此次手术的成功,是青海红十字医院神经外科在复杂颅底肿瘤诊疗领域的重大突破,标志着该院在显微神经外科技术、跨区域协作诊疗能力上实现显著提升,也充分展现了团队扎实的专业功底、高效的执行力与勇于挑战难题的担当精神。同时,通过此次“授人以渔”式的帮扶协作,青海红十字医院神经外科团队在复杂病例诊疗思路、显微操作技巧等方面积累了宝贵经验,进一步夯实了科室技术基础,为今后独立开展此类高难度手术、更好地服务高原群众筑牢了根基。
结语:山海同心共筑高原健康屏障
未来,青海红十字医院将继续以患者为中心,深耕学科建设,深化跨区域医疗协作,将先进诊疗技术与理念内化于心、外化于行,以更精湛的医术、更优质的服务,为构建高原健康屏障、助力“健康中国”建设贡献红十字力量。
文/图:神经外科
审核:阿尖措 董秋霞