近日,青海红十字医院神经外科团队成功为三名饱受“肢端肥大症”困扰的生长激素型垂体瘤患者实施神经内镜下经鼻蝶鞍区肿瘤切除术。手术通过患者鼻腔这一“天然通道”完成肿瘤切除,术后三名患者生长激素水平迅速恢复正常,康复顺利。此次手术的成功,标志着我院在颅内肿瘤微创治疗领域迈上新台阶。


近三年来三名患者相继发现自己原本合脚的鞋码越来越大,手指逐渐粗壮,嘴唇和鼻头也变得肥厚宽大,面容日渐改变。起初他们以为只是中年发福,并未在意。然而近半年来,均开始出现顽固性高血压和血糖升高,药物治疗效果不佳,这才来到我院就诊。
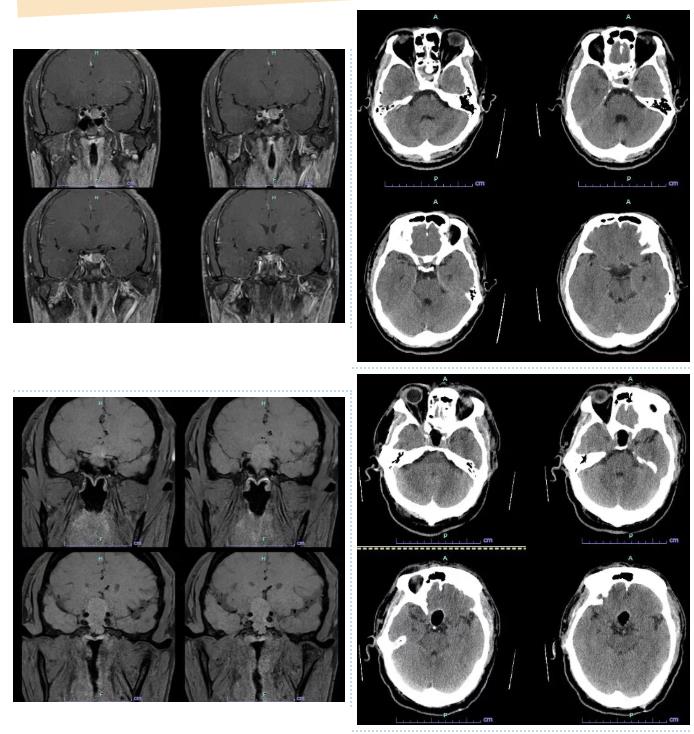
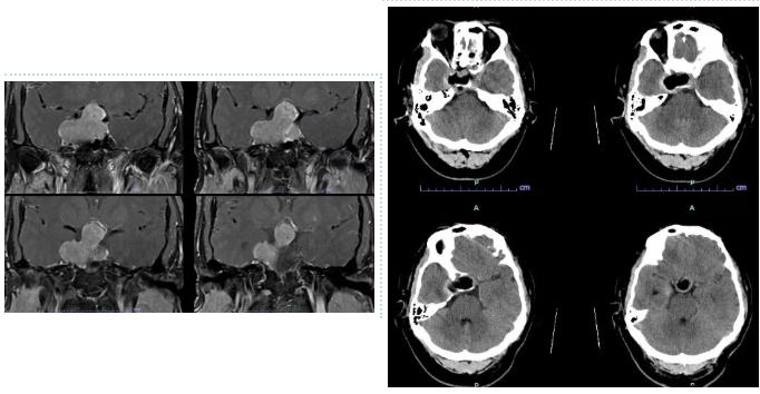
经系统检查,医生发现这并非普通代谢疾病,而是脑中一颗直径约4厘米的垂体瘤在作祟。更关键的是,这是一种生长激素型垂体瘤,肿瘤持续过量分泌生长激素,导致了患者均出现手足增大、面容改变以及继发性糖尿病和高血压,压迫视交叉,视力减退。
不开颅、创伤小:经鼻蝶手术实现“精准拆除”
“脑子里长瘤,是不是要开颅?会不会有危险?”面对患者和家属的焦虑,神经外科医疗团队耐心解释:对于垂体瘤,尤其是位于鞍区的肿瘤,目前国际主流的微创技术是神经内镜下经鼻蝶入路手术,无需开颅。
神经外科主任介绍,该技术利用人体自身的鼻腔通道,在高清神经内镜的辅助下,通过蝶窦打开一个小窗口直达肿瘤部位。内镜如同医生的“第三只眼”,能够提供清晰广阔的手术视野,精准分辨肿瘤与正常的垂体组织、视神经和重要血管,在最大限度保护正常结构的前提下完整切除肿瘤。
手术由神经外科团队主刀,在麻醉科、手术室的密切配合下,经过约3小时的精细操作,肿瘤被完整切除。术中出血量极少,体表没有任何切口。
术后当日激素下降,患者感叹“像没做手术”
术后,患者当天即感精神状态好转,没有明显头痛不适,并能在床上轻微活动。术后48小时复查显示,其生长激素水平已从术前的异常高位迅速降至正常范围(1.52ng/ml)。
“没想到这么大的手术,居然从鼻子里就做了,脸上一点疤都没有,太神奇了。”即将康复的三名患者均感慨道。目前,他们手足肥厚的症状正在逐渐改善,血压和血糖也较术前更容易控制。
健康科普
认识垂体瘤:当你的身体悄悄“变形”
很多人对“垂体瘤”感到陌生,但它其实是一种常见的颅内良性肿瘤。垂体位于大脑底部、鼻子后方深处,是一个豌豆大小的腺体,却是人体内分泌的“总司令部”,调控着生长、代谢、生殖等关键功能。
垂体瘤有哪些类型?
根据是否分泌过量激素,垂体瘤主要分为两类:
1. 功能性垂体瘤:会分泌过多激素,引起特定症状。
· 生长激素型:导致肢端肥大症(成人)或巨人症(青少年)。典型表现为手脚增大、唇鼻肥厚、下颌突出、皮肤粗糙,常伴发高血压、糖尿病和心脏病。
· 泌乳素型:女性表现为闭经、溢乳、不孕;男性表现为性欲减退、阳痿。
· 促肾上腺皮质激素型:导致库欣病,表现为向心性肥胖(满月脸、水牛背)、皮肤紫纹、高血压。
2. 无功能性垂体瘤:不分泌激素,早期无症状。但随着肿瘤增大,会压迫周围组织,引起头痛、视力下降、视野缺损(看东西只能看到中间,看不到两边)。
出现这些信号,请及时就医
垂体瘤起病隐匿,但如果出现以下情况,应提高警惕:
· 面容改变:鞋子尺码不断变大、戒指戴不上、嘴唇变厚、鼻子变宽。
· 视力问题:不明原因的视力下降、看东西只能看到正前方一部分(特别是颞侧视野缺损)。
· 内分泌紊乱:女性月经不调或停经且非怀孕所致;男性性功能减退;不明原因的高血压、糖尿病。
微创手术:让垂体瘤治疗不再可怕
目前,神经内镜下经鼻蝶垂体瘤切除术已成为治疗垂体瘤的首选方案之一。与传统开颅手术相比,它具有以下优势:

神经外科专家提醒
垂体瘤多为良性,早发现、早诊断、微创手术效果良好。如果发现身体出现上述“变形”信号,不要只当是岁月的痕迹,建议及时到神经外科或内分泌科及相关科室进行垂体相关检查(垂体MRI增强扫描和激素测定),以免延误病情。
我院神经外科团队将继续以精湛的微创技术和温暖的医疗服务,为患者的健康保驾护航。
文/图:神经外科
审核:阿尖措 董秋霞